Лечу ваши зубы как лечил бы себе. Ортодонтия, терапия, протезирование — с прозрачным протоколом на каждом шаге.
Каждый протокол прозрачен. Каждый материал проверен. Результат, который видно.

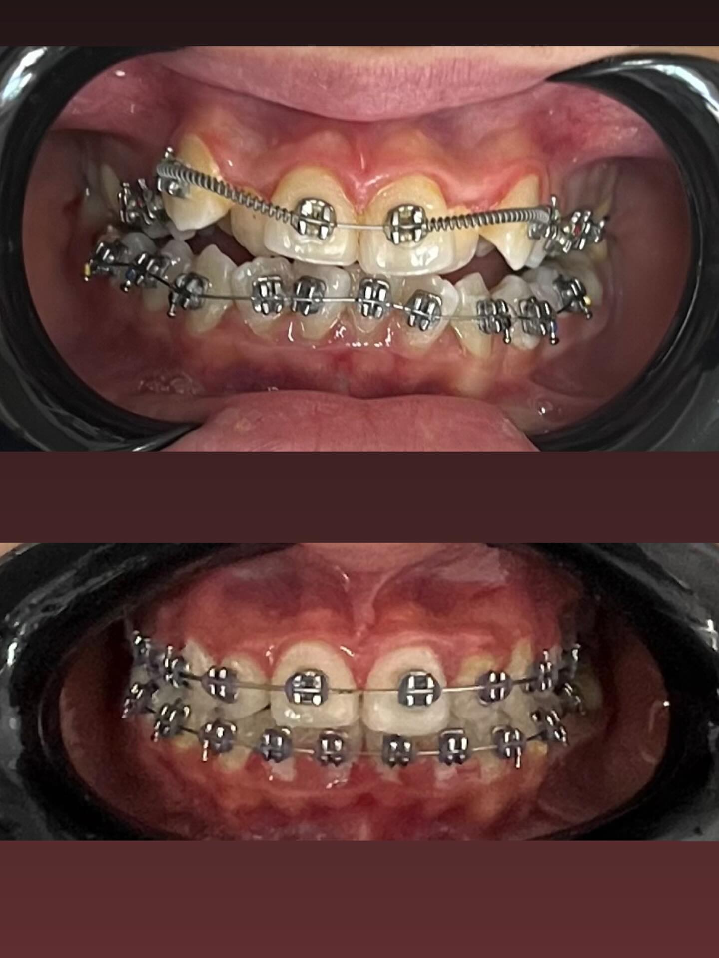
200+ законченных работ. Коррекция мезиального прикуса без операции, глубокий прикус, вытягивание ретинированных зубов. Сложная биомеханика — наша специализация.

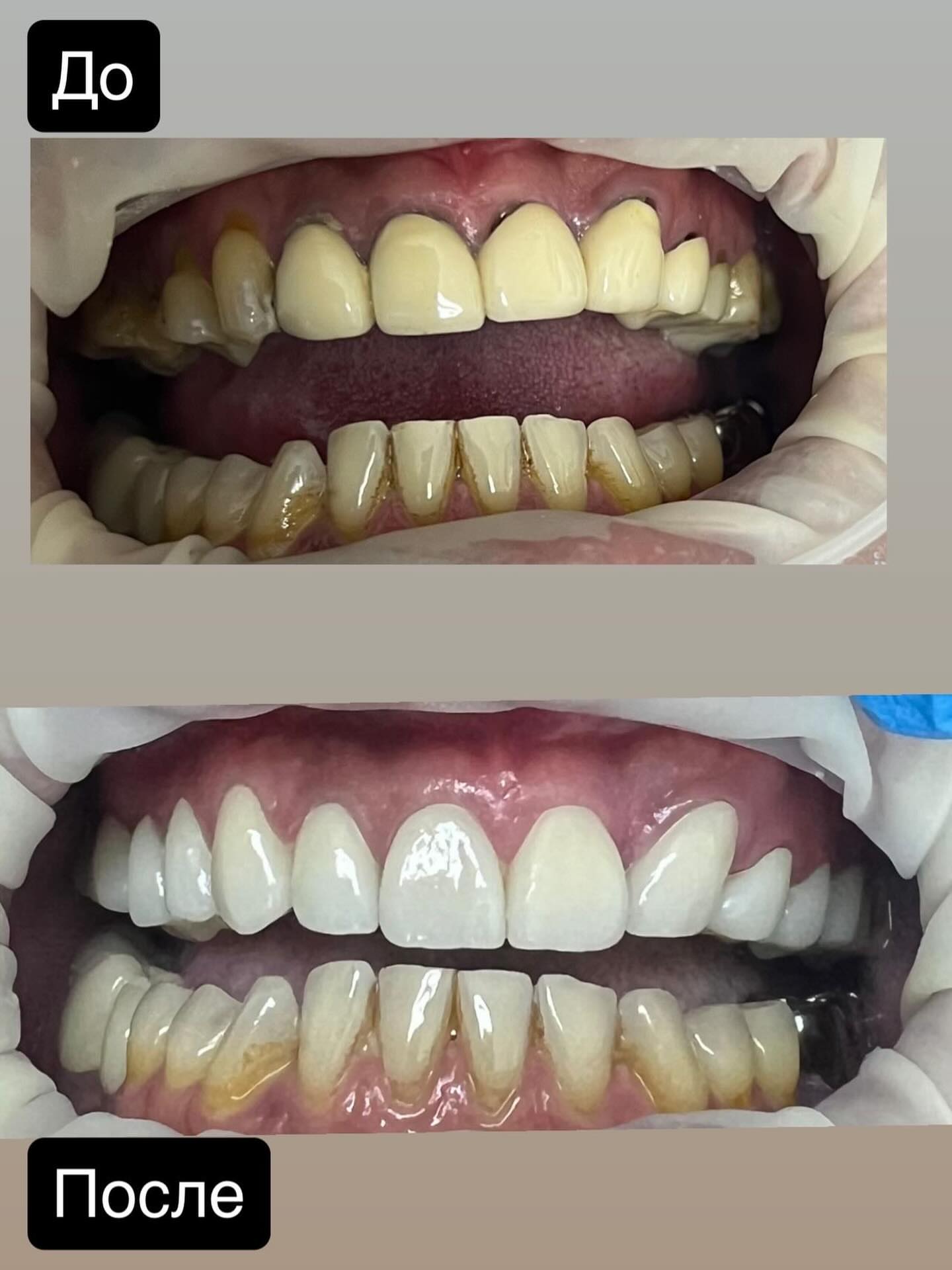
Композитные виниры с идеальной формой и цветом. Эстетика, которая вдохновляет.

Мезиальный прикус без операции. Стабилизация высоты. Результат, который меняет жизнь.

Лечение кариеса, каналов, периодонтита. Премиальные материалы Estelite Sigma, Asteria. Коффердам.
Соло-практика. Персональный стандарт качества на каждом этапе.

Стоматолог: ортодонт, терапевт, ортопед. Выпускник КГМА. Непрерывное развитие — минивинты, ортопедия, курсы по композитным винирам в лучших клиниках.
«Лечу ваши зубы как лечил бы себе»
Исправление сложных прикусов без хирургии. Требовалась операция — лечим без.
Каждый шаг и материал — открыто. Полная прозрачность лечения.
Курсы, конференции, обмен опытом с коллегами — совершенствуюсь каждый день.
Суровые мужланы в стоматологии. Работа, которая говорит сама за себя.
Персональный стандарт. Подтверждённый результат.
Персональный стандарт качества — тот же подход, материалы и внимание, что для себя.
Мезиальный прикус, ретинированные зубы — решаем ортодонтически, без хирургии.
Не слова — цифры. Каждый кейс задокументирован, результат на фото.
Каждый шаг протокола, каждый материал — открыт для пациента. Без скрытых этапов.
Минивинты, ортопедия, композитный виниринг — каждый год новые технологии.
Совершенствуюсь, чтобы максимально качественно лечить вас. Напишите — обсудим план лечения.